関節遊離体の経ゼ験 1.緒 東京女子医科大学整形外科学教室(主任 森崎直木教授) 言 北 キタ 澤 ザワ 俊 トシ 郎 ロウ (受付 昭和32年11.月11日) 関節遊離体と便宜上呼称したが実際には関節腔 内に完全に遊離しているものだけを意味するので④ 遊離体摘出 関節鏡手術により遊離体を除去した後の写真です。レントゲンにうつっていない遊離体も関節鏡で発見、これも同時に摘出しました手術後1週間で投球練習を再開し、3週間後には試合に出場し 先日のエントリーのとおり、右足の足首に軟骨遊離体(遊離軟骨、ねずみ)が発生し遊離体 うつぶせ 右肘の手術 肘の内側 肘の外側 :傷の場所 遊離体摘出 実際の手術風景 関節鏡(カメラ)で手術を行います 遊離体(関節ねずみ)摘出術 肘に5mm大の傷が 6か所できます 軟骨 正常 変形 遊離体 骨棘 博多メディカルクリニック
離断性骨軟骨炎 整形外科 スポーツ診療科 順天堂医院
関節遊離体 手術
関節遊離体 手術-関節遊離体 179 もの2個,合計10個.大きさは最大12×10×5mm.最 ノJ、7×4×2mm. 考 按 関節遊離体が関節を形成する骨,軟骨或いは滑液膜 の一部から由来することは明白である.かかる部位か ら限局性に骨,軟骨の一片が離解するためには,唯18/9/17 この病気は、 関節内に骨や軟骨のかけらが見られる病気 で、浮遊するチョロチョロとした小さなかけらをねずみに例え、この病名がつきました。 関節ねずみは、別名 「関節内浮遊体」( Joint loose body)ともいいます。



野球肘の予防 外反ストレスに負けない肘を作るトレーニング
関節遊離体を英語で訳すと *** かんせつゆうりたい シソーラス Scholar, Entrez, Google, WikiPedia joint loose body* (n) 関連語関節内遊離体同義語(異表記)Joint 約1179万語ある英和辞典・和英辞典。発音・イディオムも分かる英語辞書。ひじやひざの関節を構成する骨や軟骨の一部が何らかの原因ではがれ、その欠片(かけら)が関節内を動きまわるものが 関節ねずみ です。 関節内遊離体 ともいいます。 病気というよりも骨の損傷に伴う症状の一つといえます。 剥がれたカケラは、ネズミのように関節内をただよい動き回ります。 ただ動いているだけなら良いのですが、かけらが関節の間に関節遊離体 loose body of the joint は生体組織由来の関節腔内遊離体の総称で、関節ネズミ(英:joint mouse、独: Gelenkmaus )ともいう。
25/4/17 関節内遊離体とは、けがや病気により関節軟骨やその下の骨(軟骨下骨)の一部が剥がれ、膝や肘などの関節内を移動するようになった骨軟 骨片 ( かけら ) のことを指します。 関節内を動き回る関節内遊離体は、俗に「関節ねずみ」とも呼ばれています。 関節内遊離体は、膝や股関節、肘や足首、顎関節など、病気が起こっているさまざまな関節に生じ得12/3/21 関節ねずみとは? 関節ねずみとは、関節内に出来た骨の破片のことを言います。 関節ねずみとは俗称で、正式名称は「関節遊離体」「遊離軟骨」「関節内遊離体」などと呼ばれます。 ただ正式名称が長い上に色々な呼び方がされるので、関節ねずみと呼ばれることの方が多いと思います。病院別 関節内遊離体の治療実績 「 関節内障、関節内遊離体 」の治療実績数を、便宜上"関節内遊離体"のランキングとしています。 この件数には、他の病気の治療も含まれることがあります。 ※件数が10件未満の場合は、統計が公開されていません。 そのため合計数・順位に誤差があることがあります
関節腔内に遊離体を生じる原因には炎症性疾患とし て結核,外傷性疾患として離断性骨軟骨炎や骨軟骨骨 折,滑膜由来の疾患として滑膜性骨軟骨腫症などが挙 げられるこ れらの疾患の関節腔内における遊関節遊離体 かんせつゆうりたい 「関節包」とは、関節を包んでいる袋状の膜のことをさす。 広義の意味での関節は、骨と骨をつなぐ部分をいい「線維性連結」「軟骨性連結」「骨性連結」などのように動かない関節もあるが、関節包は、腕や足の関節の変形性肘関節症(以下oa)に対する鏡視下関節 形成術の術式の内容は,主に滑膜切除,骨棘切除, 遊離体摘出,関節包解離である1).本法により,低 侵襲に,滑膜切除による除痛と,骨棘・遊離体の インピンジメントや関節包拘縮・癒着による終末



池田医院 整形外科 外科 リハビリ 京都市左京区 京大正門前徒歩1分



飯島整形外科 ドクター飯島のスポーツ医学q A 外反母趾
関節遊離体をそれぞれ3群 に分類すると,表1の 如 く,離 断性骨軟骨炎では,歳 から80歳(平 均35歳)で 12名,骨 軟骨腫症では,31歳 から74歳(平 均51歳)で11 名,い ずれとも判然とせぬもの18歳から66歳(平かんせつゆうりたいかんせつねずみ関節遊離体(関節鼠) Loose Body, Joint Mouse どんな病気か 主として軟骨や骨の小片が、関節内に遊離して動きまわるものを、関節遊離体あるいは関節鼠といいます。 このようなことがおこる原因としては、離断性骨軟骨炎(りだんせいこつなんこつえん)、骨軟骨腫症(こつなんこつしゅしょう)、骨軟骨骨折などがありますが関節遊離体 カンセツユウリタイ 関節遊離体はどんな病気? 関節遊離体とは、関節の中にはく離した骨が存在する状態を指す言葉です。 別の呼び方としては、関節ねずみなどと言うことがあります。 これは、いろいろな関節で発生する可能性があります。 一般的には、指やひじなどの関節に多く見られると考えられています。 これが発生する原因として



肘離断性骨軟骨炎 長野整形外科クリニック



丸藤正道が手術をするきっかけになった膝関節遊離体とは プオタの理学療法士



整形外科について 社会医療法人友愛会 友愛医療センター



変形性膝関節症 Ca鍼灸整骨院



変形性肘関節症の治療や検査 健診会 滝野川メディカルクリニック



Q Tbn And9gcrayggzf705d1ukkrqgdst Sy9ywhfypodksrneobhhmcfsgzsl Usqp Cau



遊離軟骨が関節に入り込む ねずみ になり関節がロックました 要手術



変形性肘関節症の治療や手術 ストレッチなどのリハビリテーションをご紹介 Youtube



医師監修 作成 関節内遊離体の症状について 痛みやひっかかりなど Medley メドレー



野球肘の予防 外反ストレスに負けない肘を作るトレーニング



ブログ 膝離断性骨軟骨炎 しつりだんせいこつなんこつえん 熊本の弁護士 交通事故のトラブル弁護は田中ひろし法律事務所



新年のご挨拶 関節の症状 ひざ治療ブログ 銀座の整形外科病院



プロレスラー武藤敬司の膝に入っていた軟骨のサイズが凄い 情報屋さん



整形外科の病気 高岡整志会病院 富山県高岡市



離断性骨軟骨炎 整形外科 スポーツ診療科 順天堂医院



整形外科 柏たなか病院



足関節の軟骨損傷の治療 都立大整形外科クリニック



1週間入院して関節遊離体と骨棘除去のための関節鏡手術を受けてきました 痛い写真あり



ねずみ 焼き鳥 床島のブログ



手関節内遊離体の1例 臨床雑誌整形外科 53巻9号 医書 Jp



膝 関節痛 の原因 対策について Part3 イクメンパパのビジネス評論ブログ



New 膝関節外科 日本医科大学付属病院



主な手術 膝 半月板 前十字靭帯 肩 肘 足の損傷に対する関節鏡手術なら



関節内遊離体 岡崎の肩腰痛治療の達人 岡崎北ハピネス接骨院 鈴木 智也



原因と症状 治療法



膝の痛みの原因となる 関節ねずみ 関節内遊離体 とは 特徴 症状 治療



こまっちゅう患者さん 関節ねずみ もりもと整形外科 内科



変形性膝関節症の治療 近畿大学病院



気になるその膝の痛みは 変形性膝関節症 かも 症状が悪化する前に早めの受診を 医療総合qlife



1週間入院して関節遊離体と骨棘除去のための関節鏡手術を受けてきました 痛い写真あり



原因と症状 治療法



足首の奥が痛む 距骨離断性骨軟骨炎 よくある症状 疾患 札幌スポーツクリニック 札幌市中央区の整形外科 内科 リハビリ科



関節内遊離体 関節ネズミ とは



財団法人新潟手の外科研究所 新潟手の外科研究所病院 当院について



離断性骨軟骨炎 整形外科 スポーツ診療科 順天堂医院



原因と症状 治療法



関節ネズミの新着記事 アメーバブログ アメブロ



野球肘 外側型 榎本メディカル えのもと整骨院 鍼灸院 深江橋駅 3分 大阪市 城東区



スポーツ整形の観点から疲労骨折を解説



肘関節遊離体摘出 変形性肘関節症 Afghan Diary



講演8 変性膝関節症における読影とx線計測に必要な撮影



Hakata Mc Jp Wp Content Uploads Hiji Pdf



足の外科診 帝京大学医学部 整形外科学講座



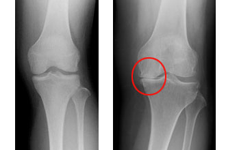
肘の外側が痛むタイプの野球肘 上腕骨小頭離断性骨軟骨炎 よくある症状 疾患 札幌スポーツクリニック 札幌市中央区の整形外科 内科 リハビリ科



肘関節遊離体 関節ねずみ 逗子駅前整形外科 逗子駅前整形外科 整形外科 手外科



整形外科の病気 高岡整志会病院 富山県高岡市



野球肘 離断性骨軟骨炎 Ocd の外側広範囲型に対する 関節鏡視下骨軟骨移植術 モザイクプラスティー 骨軟骨を最少侵襲で移植 スマートに復帰 スポーツ整形外科医s Uのブログ Sports Physician S U Blog



左足首 関節遊離体手術 山と海 プラス 日々思う事



肘のスポーツ障害に対する肘関節鏡手術 黒部市民病院



上腕骨小頭離断性骨軟骨炎の治療



変形性肘関節症 日本整形外科学会 症状 病気をしらべる



変形性肘関節症 久美接骨院 名古屋市中村区



変形性肘関節症 私の治療 Web医事新報 日本医事新報社



原因と症状 治療法



主な手術 膝 半月板 前十字靭帯 肩 肘 足の損傷に対する関節鏡手術なら



遊離体摘出して骨軟骨欠損部に骨釘を充填する方法



変形性肘関節症 横浜市保土ヶ谷区の横山医院



膝関節 更新日 18年12月1日 文責 膝肩班 医師 平岩秀樹 名古屋大学大学院医学系研究科 総合医学専攻 運動 形態外科学 整形外科学 リウマチ学



関節遊離体 関節ネズミ について 所沢市南住吉の所沢接骨院



離断性骨軟骨炎 上田整形外科内科



肘が痛い 肘が曲がらない 肘が伸びない 変形性関節症 札幌 クラーク病院



1



膝関節遊離体とは めでぃまーる net



野球肘 大府市 整形外科 前原整形外科リハビリテーションクリニック



変形性肘関節症 古東整形外科 リウマチ科



変形性肘関節症 古東整形外科 リウマチ科



関節鏡視下手術とは 診療のご案内 医療法人高遼会 高遼会病院



子供のスポーツ外傷について 子供たちの野球肘を防ぎましょう 整形外科医の日常診療から



野球肘 離断性骨軟骨炎 医療法人はぁとふる 運動器ケア しまだ病院



整形外科 広島医療生活協同組合 広島共立病院



Q Tbn And9gcqg5s6mdsr So1g7vh9inr 8wsrxo1jh1npalyfspqdy3ghtf1 Usqp Cau



肘関節疾患に対する治療 特色ある治療 サービス 医療法人社団英志会 富士整形外科病院



ヒグチ整骨院 大阪市東淀川区 骨折 脱臼 捻挫その他の外傷の治療 耳つぼダイエット



Ct 検査について 札幌羊ヶ丘病院整形外科



画像あり 関節ねずみ 関節内遊離体 とは 手術は必要



外側型野球肘 肘離断性骨軟骨炎 麻生総合病院



変形性膝関節症について 社会医療法人恵仁会 くろさわ病院 長野県佐久市中込



関節ねずみって何 膝痛の原因になる関節内遊離体の症状や治療法について Healthing



関節ねずみ って何 湘南針灸接骨院



左膝関節鏡視下遊離体摘出術 入院して内視鏡で摘出 サッカー Youtube



変形性膝関節症について 社会医療法人恵仁会 くろさわ病院 長野県佐久市中込



変形性肘関節症 日本整形外科学会 症状 病気をしらべる



1



関節ねずみ



肘関節疾患 錦野クリニック 藤枝市の整形外科 消化器外科 肛門外科 内科



変形性肘関節症 芦澤整形外科



スポーツ傷害とは 千葉メディカルセンター スポーツ整形外科



Outerbridge 柏木法を併用して関節鏡視下遊離体摘出術を行った関節症性変化を伴う肘関節滑膜骨軟骨腫症の2例 臨床雑誌整形外科 64巻9号 医書 Jp



遊離軟骨が関節に入り込む ねずみ になり関節がロックました 要手術



足関節の疾患と手術 船橋整形外科病院 Funabashi Orthopedic Hospital



痛みの話q A 八王子整形外科 西八王子駅近くの整形外科専門クリニック



主な手術 膝 半月板 前十字靭帯 肩 肘 足の損傷に対する関節鏡手術なら



New 膝関節外科 日本医科大学付属病院



変形性膝関節症 年の膝 三島市医師会



変形性肘関節症 芦澤整形外科



整骨院行ってきました Masshiのトレログ



肩関節に発生した巨大遊離体を有する二次性滑膜骨軟骨腫症の1例 臨床雑誌整形外科 66巻5号 医書 Jp



肘離断性骨軟骨炎に対する 関節鏡視下骨軟骨移植術 モザイクプラスティー Arthroscopic Osteochondral Transplantation For Elbow Ocd スポーツ整形外科医s Uのブログ Sports Physician S U Blog



膝関節



膝関節多発性骨軟骨腫 関節ねずみ ならぬ 関節うさぎ 稲毛整形外科



変形性肘関節症 古東整形外科 リウマチ科



飯島整形外科 ドクター飯島のスポーツ医学q A 膝の関節ねずみ

